Why would my 20 week baby have dilated kidneys on an ultrasound?

Hydronephrosis can be caused by many conditions. The first and most common is transient hydronephrosis, which is normal. Since an ultrasound is just a snapshot in time, in transient hydronephrosis the ultrasound captured the kidney when it is maximally full of urine before it drains through the ureter into the bladder.

What does it mean when your unborn baby has dilated kidneys?

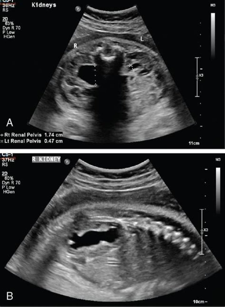
Fetal hydronephrosis is swelling of a baby’s kidney caused by a buildup of urine. This can happen while the baby is still in the mother’s uterus. Doctors often find the problem when a woman has a fetal ultrasound during pregnancy. Urine normally travels from the kidney down a narrow tube to the bladder.

Does a dilated kidney mean Down syndrome?

Less often, a dilated renal pelvis is an early sign of a more serious problem with the bladder, kidney, or ureter. Down syndrome: Some studies suggest a small chance for Down syndrome with this ultrasound finding.

How common is fetal hydronephrosis?

Fetal hydronephrosis is one of the most common problems detected by prenatal ultrasounds. It affects approximately 1 out of every 100 newborns. Unborn babies with fetal hydronephrosis do not typically experience problems in the womb. In half of all cases, the condition resolves on its own by the third trimester.

How do they fix hydronephrosis in babies?

The most common surgical procedure is pyeloplasty. This repairs the most common type of blockage that causes hydronephrosis: ureteropelvic junction obstruction (UPJ). In pyeloplasty, the surgeon will remove the narrowed or obstructed part of the ureter.

Does hydronephrosis go away after pyeloplasty?

Our results suggest that the vast majority of cases that resolve, do so within 12 months from surgery, whereas hydronephrosis persisting beyond 12 months after surgery is less likely to resolve.

Does fetal hydronephrosis go away?

About half of fetuses diagnosed with hydronephrosis have transient hydronephrosis, and the condition goes away before the infant is born. In children who are born with hydronephrosis, the condition is sometimes transient and can go away on its own, usually by the time the child is age 3.

Can severe fetal hydronephrosis correct itself?

Unborn babies with fetal hydronephrosis do not typically experience problems in the womb. In half of all cases, the condition resolves on its own by the third trimester. If the condition persists, it usually improves after childbirth without treatment.