What is a fMRI used for?

It may be used to examine the brain’s functional anatomy, (determine which parts of the brain are handling critical functions), evaluate the effects of stroke or other disease, or to guide brain treatment. fMRI may detect abnormalities within the brain that cannot be found with other imaging techniques.

What is the underlying activity detected by fMRI?

fMRI detects brain activity by measuring the changes in both the amount of oxygen in the blood and the amount of blood flow [4, 5]. This measurement is known as blood-oxygen-level-dependent activity (BOLD activity).

What are the advantages of fMRI?

The big advantage of fMRI is that it doesn’t use radiation like X-rays, computed tomography (CT) and positron emission tomography (PET) scans. If done correctly, fMRI has virtually no risks. It can evaluate brain function safely, noninvasively and effectively.

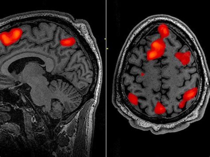
What is the spatial resolution of fMRI?

fMRI scans have a spatial resolution of approximately 1-2 mm which is significantly greater than the other techniques (EEG, ERP, etc.) Consequently, psychologists can determine the activity of different brain regions with greater accuracy when using fMRI, in comparison to when using EEG and/or ERP.

How are Fmris used in clinical and commercial use?

Clinical and Commercial Use It is used in pre-surgical planning to localise brain function. There is also potential for clinical FMRI in applications including presymptomatic diagnosis, drug development, individualisation of therapies and understanding functional brain disorders.

What does fNIRS measure?

Functional near-infrared spectroscopy (fNIRS) is a non-invasive brain imaging technique that measures blood oxygenation changes similar to fMRI. The technique is based upon the changes in absorption of light emitted by sources onto the surface of the head and measured by detectors.

What instrument is used to measure brain activity?

electroencephalograph (EEG)
About this object. This machine, made in 1958, is an electroencephalograph (EEG) – a device that measures electrical activity in the brain.

How does fMRI help researchers to study the brain?

fMRI tracks changes in blood flow and oxygen levels to indicate neural activity. When a particular brain area is more active, it consumes more oxygen, and blood flow increases. As the technology was refined, fMRI researchers became able to characterize brain function at the level of neural processes.

What is the temporal resolution of fNIRS?

fNIRS is characterized by a relatively high temporal resolution (sampling rate up to 100 Hz; typically between 1 and 10 Hz). Locations of sources/detectors can be captured using neuronavigation systems.

Is fNIRS similar to fMRI?

Compared to fMRI, fNIRS has advantages and disadvantages. While limited by its inferior spatial resolution and penetration depth, fNIRS has a much higher temporal resolution than fMRI, allowing measurements of concentration changes in both oxygenated and deoxygenated hemoglobin.

What are fNIRS used for?

fNIRS has been used successfully to monitor cognitive states and activity, and Glenn’s system can be used to continuously monitor brain function during safety-critical tasks, such as flying an airplane or driving a train.