What does striated Nephrogram mean?

Striated nephrogram is a descriptive term indicating an appearance of alternating linear bands of high and low attenuation in a radial pattern extending through the corticomedullary layers of the kidney on iodine-based intravenous contrast enhanced imaging.

What is a Nephrogram test?

What is a Nephrogram? It is a diagnostic test performed in the nuclear medicine laboratory. A special radioactive drug, which has the property to be taken up and secreted by the kidneys, is administered intravenously (i.v.). Then, a special camera is placed behind the body at the height of the renal region.

Is hydronephrosis a kidney disease?

Hydronephrosis (kidney swelling) occurs as the result of a disease. It is not a disease itself. Conditions that may lead to hydronephrosis include: Blockage of a ureter due to scarring caused by prior infections, surgeries, or radiation treatments.

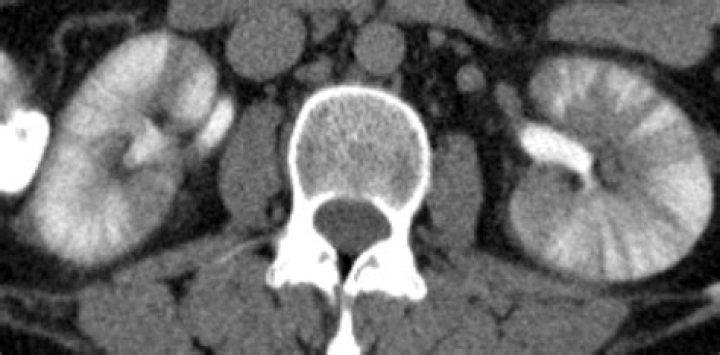
What does a Urogram show?

A CT urogram is used to examine the kidneys, ureters and bladder. It lets your doctor see the size and shape of these structures to determine if they’re working properly and to look for any signs of disease that may affect your urinary system.

Is a CT urogram painful?

Urography with conventional x-ray is known as intravenous pyelogram (IVP). Urography is also often performed using computed tomography (CT) or magnetic resonance imaging (MRI). CT and MR urography are painless and proven effective in detecting urinary tract issues.

What is CT Urogram used for?

A computerized tomography (CT) urogram is an imaging exam used to evaluate the urinary tract. The urinary tract includes the kidneys, bladder and the tubes (ureters) that carry urine from the kidneys to the bladder.

What causes a Hydroureter?

Hydroureter refers to dilation of the ureter(s) and is most often caused by obstruction of urine outflow due to blockage of the ureter(s) by calculi, chronic inflammation, luminal or intramural neoplasia, or accidental ligation during surgery.

Is nephropathy curable?

There is no cure for diabetic nephropathy, but treatments can delay or stop the progression of the disease. Treatments consist of keeping blood sugar levels under control and blood pressure levels within their target range through medications and lifestyle changes.

Is nephropathy reversible?

We reported similar findings also for tubular and interstitial lesions. Thus this study demonstrated, for the first time in humans, that the lesions of diabetic nephropathy are reversible and that the kidney can undergo substantial architectural remodeling upon long-term normalization of the diabetic milieu.