What causes Spirochetosis?

Intestinal spirochetosis is most commonly caused by the gram-negative spirochete Brachyspira aalborgi, but sometimes by a closely related organism, Brachyspira pilosicoli.

What disease is caused by spirochetes?

Of mammalian pathogens, some of the most invasive come from a group of bacteria known as the spirochetes, which cause diseases such as syphilis, Lyme disease, relapsing fever and leptospirosis.

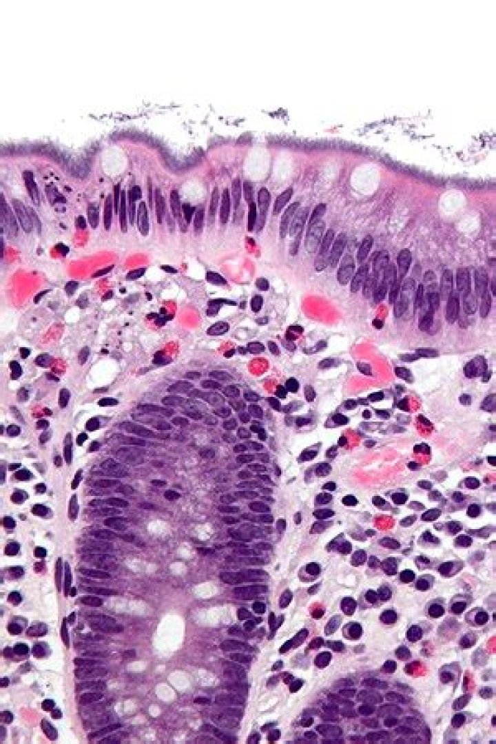
What is Spirochetosis?

Abstract. Intestinal spirochetosis (IS) is an infestation defined by the presence of spirochetes on the surface of the colonic mucosa. The implicated organisms can be Brachyspira aalborgior Brachyspira pilosicoli.

How is Spirochetal infection treated?

Treatment is with antibiotics such as doxycycline or penicillin. Spirochetes are distinguished by the helical shape of the bacteria. Pathogenic spirochetes include Treponema, Leptospira, and Borrelia.

Is Spirochaetosis a bacterial disease in poultry?

Avian spirochetosis is an acute, febrile, septicemic, bacterial disease that affects a wide variety of birds.

How do you treat Borrelia spirochetes?

Results of the study of three morphological forms of Borrelia in vitro revealed that five antimicrobial drugs commonly used as monotherapy in LD cases (doxycycline, amoxicillin, tigecycline, metronidazole and tinidazole) showed different potential in eradicating spirochetes, round bodies and biofilm-like colonies [102] …

Are spirochetes bad?

spirochete, (order Spirochaetales), also spelled spirochaete, any of a group of spiral-shaped bacteria, some of which are serious pathogens for humans, causing diseases such as syphilis, yaws, Lyme disease, and relapsing fever.

Where is Spirochaetes found?

Spirochetes are a group of six genera of spiral-shaped, slender bacteria of varying length. They are either free-living or host-associated. They are found in the human oral cavity, gastrointestinal tracts of humans, mammals, insects, and in marine environments.

How long does Borrelia burgdorferi live?

burgdorferi spirochetes were found in ticks that fed upon primates and in multiple organs after treatment with 28 days of doxycycline. Summary: Lyme bacteria can survive a 28-day course of antibiotic treatment four months following infection by tick bite, according to a new study using a primate model for the disease.

Can spirochetes be killed?

Sera from several species of nonimmune animals, which contain natural antibodies, can kill spirochetes in vitro, and the killing is complement dependent (18).

Can you feel spirochetes?

Can I feel spirochetes in my body? Technically, no. Though my Integrative Manual Therapist often says he can feel the motility of spirochetes when I am having a flare-up of achiness, inflammation, and fatigue.