What are the chances that an endometrial polyp is cancerous?

The odds of a uterine polyp being cancer or becoming cancerous are low. In premenopausal women, that number is 1-2 percent. In women who have gone through menopause, the risk is 5-6 percent. But even with the low risk, health care providers often will take a tissue sample of a uterine polyp for lab testing.

What is the treatment for cancerous uterine polyps?

Instead of making a cut in your belly, they can insert a curette or other surgical tools through your vagina and cervix to take the polyps out. If your polyps have cancer cells, you may need surgery to take out your entire uterus, called a hysterectomy.

Can a doctor tell if a uterine polyp is cancerous by looking at it?

While using the hysteroscope to look at the interior of the uterus, the doctor uses a curette to scrape the lining and remove any polyps. The polyps may be sent to a laboratory to determine whether they are benign or cancerous. This technique is effective for smaller polyps.

What size uterine polyps are cancerous?

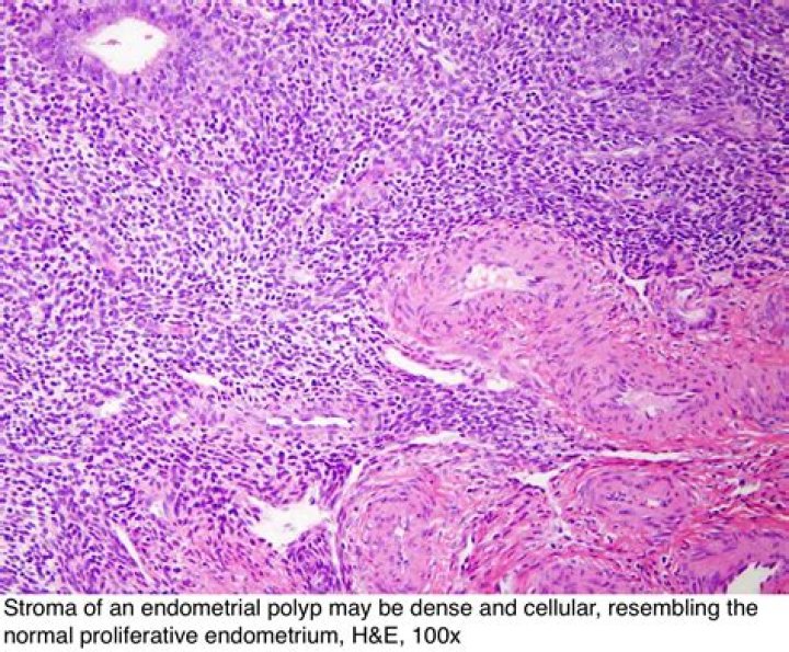
] identified that polyps measuring more than 1.0 cm were associated with malignancy.

What happens if a cervical polyp is cancerous?

If a polyp is cancerous, further treatment is likely to be necessary. The treatment will depend on the type of cancer. Sometimes, cervical polyps may come away from the cervix on their own. This can happen during menstruation or sexual intercourse.

Are larger uterine polyps more likely to be cancerous?

The risk of endometrial polyps becoming malignant is higher if the polyps are causing bleeding, and if polyps occur in women who have reached menopause.

How long does it take to recover from polyp removal from the uterus?

Recovery from a polypectomy usually takes about 2 weeks. Patients may feel pain following the procedure, particularly immediately after the procedure.

Is a 1 cm uterine polyp big?

Uterine polyps are soft fleshy outgrowths from the lining of the womb (the endometrium), usually less than 1 cm in diameter, which often flatten to fit the cavity of the uterus.

Are endometrial polyps painful?

Pedunculated polyps are more common than sessile and can protrude from the uterus into the vagina. Women will typically only feel pain from uterine polyps when this happens. Other common symptoms include: Irregular periods.

How do you know if a cervical polyp is cancerous?

But because they are due to abnormal cell growth, they can eventually become malignant, or cancerous. Your doctor can help determine if the growth is a polyp by performing a biopsy. This involves taking a small sample of tissue and testing it for the presence of cancerous cells.

What does a cancerous cervical polyp look like?

Polyps are usually cherry-red to reddish-purple or grayish-white. They vary in size and often look like bulbs on thin stems. Cervical polyps are usually not cancerous (benign) and can occur alone or in groups.