How do you get rid of hemosiderin deposits?

Treatment for hemosiderin staining

  1. Topical creams and gels. These common topical treatments can help prevent hemosiderin stains from darkening over time, but in some cases may not remove the entire discoloration.
  2. Laser treatments. Laser therapy may be effective for hemosiderin staining.

Does hemosiderin staining go away?

The discoloration from hemosiderin staining can be permanent. If you recognize the underlying cause early and start managing the condition, the stains may fade somewhat over time. There are skin creams that can lighten dark spots, such as creams containing hydroquinone.

How long does it take for hemosiderin staining to go away?

This discoloration is usually transient and disappears in a couple of weeks; however, in some people, the stain ends up being permanent.

What causes brown spots on feet and lower legs?

Ankle Discoloration / Areas of darker skin color in the lower leg, ankle or foot may be from hemosiderin deposits. Hemosiderin is a brownish pigment caused by the breakdown of blood hemoglobin, the iron content in red blood cells.

Why is my leg turning black?

What is Leg Discoloration? Venous stasis dermatitis, commonly referred to as leg discoloration, occurs due to problems with your veins located in your feet or lower legs. Leg discoloration can occur in individuals with circulation issues.

How do you get rid of venous stasis discoloration?

Treatments

  1. Wear compression stockings. They ease swelling and improve blood flow.
  2. Keep your feet elevated above your heart. When you can, do it for 15 minutes every 2 hours and while you sleep.
  3. Don’t stand still for too long. Walk around often.

Is Hemosiderin normal?

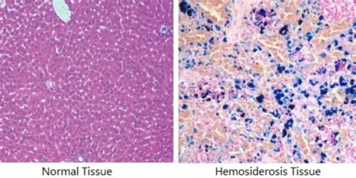
In normal animals, hemosiderin deposits are small and commonly inapparent without special stains. Excessive accumulation of hemosiderin is usually detected within cells of the mononuclear phagocyte system (MPS) or occasionally within epithelial cells of liver and kidney.

What is the best cream for hemosiderin staining?

AMERIGEL Care Lotion has been shown to help resolve Hemosiderin Staining through its unique formulation, including the proprietary ingredient Oakin®.

Is hemosiderin normal?

How do I get rid of brown spots on my feet?

Pigmentation treatment at home

  1. Combine equal parts apple cider vinegar and water in a container.
  2. Apply to your dark patches and leave on two to three minutes.
  3. Rinse using lukewarm water.
  4. Repeat twice daily you achieve the results you desire.

What does brown spots on the bottom of your feet mean?

Tinea nigra is largely painless and harmless, but it does produce a few symptoms. They include: A brown or black patch resembling a stain that usually occurs on the palm of the hand or, more rarely, on the sole of the foot.

What happens when your feet turn black?

Gangrene is a serious condition where a loss of blood supply causes body tissue to die. It can affect any part of the body but typically starts in the toes, feet, fingers and hands. Gangrene can occur as a result of an injury, infection or a long-term condition that affects blood circulation.