Does tap water cause yellow teeth?

But too much can lead to discoloration of teeth. By getting your water tested, you can also get an idea of the presence of other minerals, including calcium, magnesium, sodium, and phosphorus.

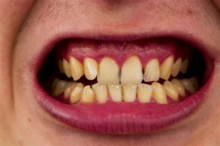
Can hard water cause yellow teeth?

Drinking from the tap is common in many households, but if that water is hard you’ll be able to taste the difference. Softer water does taste better and is more refreshing. Also, soft water is better for your dental hygiene. Years of drinking hard water can cause your teeth to turn yellow.

Is tap water bad for your teeth?

Bottled water and tap water are both good for your health. However, dentists recommend that you drink tap water because ingredients like fluoride help fight cavities and prevent tooth decay.

How can I protect my teeth from hard water?

For the most part, the minerals in hard water tend not to be abrasive enough to damage your teeth or their enamel. Using a store-bought water filter will help to cut down on the buildup of mineral deposits in your appliances, but you don’t need to worry about the condition of your teeth.

Does tap water make your teeth white?

Strengthens those pearly whites Fluoride is a mineral and in the right amount, fluoride in drinking water strengthens teeth. You can generally get fluoride in your local tap water.

Can I brush my teeth with distilled water?

It is considered by some to be the purest type of water. While distilled water is not harmful to your body or health overall, it certainly isn’t going to do your teeth any favors. As with other types of water, if you choose to drink distilled water, you’re going to have to do some extra work to protect your teeth.

Is it safe to brush your teeth with well water?

While city or town water is treated with fluoride, and the content known, not everyone has water provided to them this way. Some homes have water provided by a well. Those with wells have no control over the fluoride level, and too much or too little fluoride can have a significant impact upon your teeth.

Can you brush your teeth with distilled water?

Can water rot your teeth?

Just like sucking on sugary hard candy, sipping water with a lower PH level will cause the enamel on your teeth to erode. The longer you take to drink the water, the more damage can be done.

Can you brush your teeth with contaminated water?

It is NOT safe to use contaminated water to brush your teeth! Instead, use boiled or bottled water. To treat water, fill your pot with water and heat it until you see bubbles reach the top.

Can tap water cause cavities?

The fluoride in tap water strengthens your enamel and makes it more resistant to acid-producing bacteria, which causes cavities.

Can drinking distilled water cause tooth decay?

Like other methods of purification, distillation removes fluoride from drinking water, which may put those who choose to drink distilled water at an increased risk of cavities. This makes it important for those who drink distilled water to maintain proper dental hygiene.