Does Lisfranc show on X-ray?

The X-rays will be done at special angles, so they can show the injury. A Lisfranc joint injury may not show up on standard X-rays. You may also need other imaging tests of your foot. These tests may show a Lisfranc joint injury that an X-ray may not.

How is Lisfranc injury diagnosed?

To definitively diagnose your Lisfranc injury, your healthcare provider will order X-rays. Your healthcare provider might need to order special views of the foot, as these injuries sometimes don’t show up on standard X-rays.

When should you suspect a Lisfranc injury?

Clinical presentation Plantar ecchymosis is considered pathognomonic for a Lisfranc injury. Other clinical signs that should trigger clinicians’ suspicions include swelling in the mid-foot and pain during attempted weight-bearing, especially mid-foot pain when walking down stairs.

What is an Anne Frank fracture?

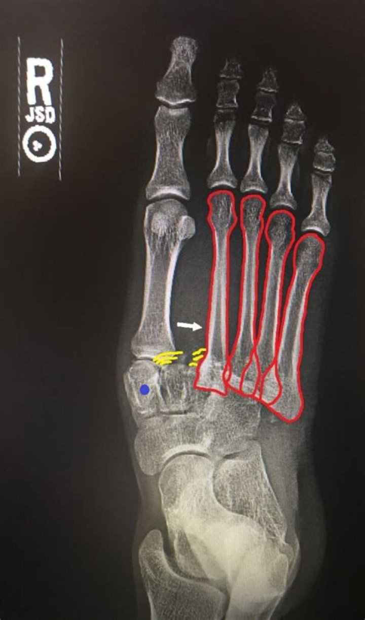
Lisfranc injuries, also called Lisfranc fracture-dislocations, are the most common type of dislocation involving the foot and correspond to the dislocation of the articulation of the tarsus with the metatarsal bases.

What is a Lisfranc ligament?

The Lisfranc joint is the point at which the metatarsal bones (long bones that lead up to the toes) and the tarsal bones (bones in the arch) connect. The Lisfranc ligament is a tough band of tissue that joins two of these bones. This is important for maintaining proper alignment and strength of the joint.

How do you check Lisfranc?

To determine the type of injury you have in your foot, your doctor will perform a physical exam. While assessing the injured foot for bruising, tenderness, and pain, your doctor will look for bruising at the bottom of your foot, a key indicator of a Lisfranc fracture.

Can you walk on a Lisfranc fracture?

Though it may be painful, many people can still walk at least somewhat after incurring a Lisfranc injury. Between having similar symptoms to ankle sprains and being hard to see on X-rays, the problem can easily be misdiagnosed or missed altogether.

How do I know if I have a Lisfranc fracture?

Symptoms of a Lisfranc fracture depend on the severity of the injury. Common symptoms include tenderness and swelling at the site of injury and the top of your foot. You may also have pain that gets worse when you walk or stand. Bruising can occur on both the top and bottom of your foot as well.