Can you see pelvic abscess on ultrasound?

TOA appears as a complex solid or cystic mass on ultrasound. Abscesses may appear on one or both sides of the ovaries. Once a clinician ascertains the size and location of any abscesses, they can use this information to inform the next steps in treatment.

What does PID look like on an ultrasound?

11 The classic findings of acute PID on transvaginal ultrasound are tubal wall thickness greater than 5 mm, incomplete septae within the tube, fluid in the cul-de-sac, and the cogwheel sign (a cogwheel appearance on the cross-section tubal view).

Can you see PID on CT?

CT findings are typically subtle early in the course of PID. Often the only finding is mild pelvic edema that results in thickening of the uterosacral ligaments and haziness of the pelvic fat with obscuration of the pelvic fascial planes (,,,,,Figs 1, ,2).

Can you see TOA on CT?

Other imaging 2 When a TOA is present, a common finding on CT is a thick-walled, fluid-dense mass in the adnexa(e), often with internal septations. There may be anterior displacement of the thickened mesosalpinx.

What are the symptoms of a pelvic abscess?

The most common symptoms of a pelvic abscess include feeling generally unwell with pain in the abdomen, fever and a mass visible through a pelvic examination. However, they can grow large with no obvious signs other than discomfort in the groin. Other symptoms include: pain that gets worse as you move.

How is pelvic abscess diagnosed?

These may include the following tests: Complete blood count — A high white blood cell count is a possible sign of an abscess of other infection….Other tests that should show abdominal abscesses include:

  1. Abdominal x-ray.
  2. Ultrasound of the abdomen and pelvis.
  3. CT scan of the abdomen and pelvis.
  4. MRI of the abdomen and pelvis.

Is PID visible on ultrasound?

Ultrasound has been recommended as an effective modality for accurate and timely pelvic inflammatory disease diagnosis by a 2017 Medscape review.

Would chlamydia show up on ultrasound?

Transvaginal ultrasound may be helpful in the diagnosis of chlamydia infection when pelvic inflammatory disease has occurred. Ultrasound findings suggestive of pelvic inflammatory disease include: Thickened/dilated fallopian tubes.

Does pelvic ultrasound detect PID?

What does PID discharge look like?

But symptoms of PID can also start suddenly and quickly. They can include: Pain or tenderness in the stomach or lower abdomen (belly), the most common symptom. Abnormal vaginal discharge, usually yellow or green with an unusual odor.

What is the cause of TOA?

Introduction. Tubo-ovarian abscess (TOA) is a late complication of pelvic inflammatory disease (PID) and involves a frank abscess or an inflammatory mass resulting from breakdown of the normal structure of fallopian tubes and ovaries by inflammation.

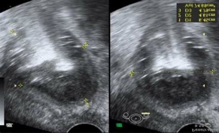
What does a tubo-ovarian abscess look like?

It is an inflammatory mass involving the fallopian tube, ovary and, occasionally, other adjacent pelvic organs. A TOA can also develop as a complication of a hysterectomy….Tubo-ovarian abscess.

Tubo-ovarian abscesses(TOA)
Drawing showing the sites of Tubo-ovarian abscess
SpecialtyUrology